ΕΜΦΡΑΞΕΙΣ
Οι εμφράξεις (σφραγίσματα) είναι η επανορθωτική οδοντιατρική εργασία που εκτελείται για την αποκατάσταση των δοντιών ύστερα από βλάβες λόγω τερηδόνας ή περιορισμένης έκτασης κατάγματος. Η χαμένη οδοντική ουσία αντικαθίσταται από εμφρακτικό υλικό, αποκαθιστώντας την ανατομία και τη λειτουργία του δοντιού.
Στη σύγχρονη οδοντιατρική έχουμε μία επιλογή από εμφρακτικά υλικά, τοποθετώντας πλέον στην πρώτη θέση τις σύνθετες ρητίνες. Η ραγδαία εξέλιξη των ρητινών την τελευταία 15ετία μας δίνει τη δυνατότητα αισθητικών αποκαταστάσεων με αντοχή στον χρόνο.
Υλικά εμφράξεων:
ΑΜΑΛΓΑΜΑ:
Ιστορικά θα αναφέρουμε πρώτο το αμάλγαμα, το οποίο χρησιμοποιείται πάνω από 100 χρόνια στην οδοντιατρική με πολύ καλά αποτελέσματα. Στα βασικά του μειονεκτήματα συγκαταλέγονται η μηχανική υποστήριξη, το οποίο σημαίνει ειδική παρασκευή της κοιλότητας και απομάκρυνση υγιούς οδοντικού ιστού και του αισθητικού αποτελέσματος λόγω του μεταλλικού του χρώματος. Επίσης, η ανίχνευση υδράργυρου στον οργανισμό (που περιέχεται στο κράμα του υλικού) έχει οδηγήσει την οδοντιατρική κοινότητα στην περιορισμένη χρήση του, παρ’όλο που οι επιστημονικές μελέτες δεν έχουν αποδείξει τοξικότητα σε αυτές τις συγκεντρώσεις.
Στο ιατρείο μας η χρήση του αμαλγάματος γίνεται αποκλειστικά σε περιπτώσεις που αντενδείκνυται ή δεν είναι δυνατή η χρήση ρητίνης, γεγονός που είναι ιδιαίτερα σπάνιο.
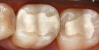
ΣΥΝΘΕΤΗ ΡΗΤΙΝΗ:
Οι ρητίνες είναι πλέον το κύριο υλικό εμφράξεων στη σύγχρονη οδοντιατρική, τόσο προσθίων όσο και οπίσθιων αποκαταστάσεων. Οι ρητίνες συγκολούνται στους οδοντικούς ιστούς, δίνοντας τη δυνατότητα της μικρότερης δυνατής αφαίρεσης υγιούς δοντιού. Το χρώμα τους μπορεί να προσαρμοστεί για να ταιριάζει απόλυτα στα φυσικά δόντια. Επιπλέον, μπορούν να χρησιμοποιηθούν για την απομάκρυνση δυσχρωμιών και στιγμάτων και για την διόρθωση διαστημάτων ή ανατομικών ανωμαλιών.
ΥΑΛΟΪΟΝΟΜΕΡΕΙΣ ΚΟΝΙΕΣ:
Χρησιμοποιούνται κυρίως στα νεογιλά δόντια, λόγω της απελευθέρωσης φθορίου και της εύκολης και γρήγορης χρήσης, όπως και ως προσωρινές εμφράξεις. Έχουν καλή συγκράτηση, αλλά χαρακτηρίζονται από τη σχετικά γρήγορη φθορά τους. Αν και παρέχονται σε φυσικές αποχρώσεις, μειονεκτούν σημαντικά στο αισθητικό αποτέλεσμα.
*Σε περιπτώσεις εκτεταμένης βλάβης επιλέγουμε τη λύση έμμεσων αποκαταστάσεων, όπως τα ένθετα και τα επένθετα. Διαβάστε περισσότερες πληροφορίες στον αντίστοιχο σύνδεσμο.

